
身材 高挑的杨谨华,在偶像剧《原来爱,就是甜蜜》中大胆演出,不仅玩起COSPLAY,更首次为戏挑战热舞,敬业演出不仅让男主角王阳明赞不绝口,也创造首播 当日收视率最高的一幕。但很多人不知道,其实杨谨华从小就深受脊椎侧弯所困扰,甚至因此无法进入体操队,也因为患有脊椎侧弯,所以她后来对自己的体态姿势 都非常注意。
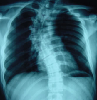
瀚群 骨科医疗中心陈怡孜医师表示,现代人常有腰酸背痛的毛病,很多都与脊椎有关。脊椎侧弯的病患,从X光片观察会发现脊椎是呈现C型或S型弯曲。临床上最常见 到不明原因的特发性脊椎侧弯,这种病患通常是天生性体质,且因后天姿势不良而加重症状,最常发现于10至18岁的青少年。
如果 在出生时期并无显著的脊椎侧弯,青少年时期的学童,则可藉由亚当前弯测试法(Adam's Test),将身体前屈弯腰,请家人观察背部两侧是否同高,就能大致判断是否有侧弯的现象。另外,若站立时双肩高低不一、腰线两侧不对称弯曲,或是有长短 脚的情况,都可能是脊椎侧弯的现象。
脊椎 侧弯的治疗,会根据侧弯严重程度而有所不同。陈怡孜医师表示,一般会经由X光片来测量,判断侧弯的位置是在胸椎或腰椎,或是两者皆有。此外,量出的角度若 小于10度属于正常范围,10至20度的轻度病患,必须密切追踪,平时可多游泳、吊单杠来强化肌力,让身体两侧的肌肉平衡,也可利用腰椎牵引器协助矫正。
若脊 椎侧弯的角度大于20度,除了可加强身体纵轴的肌肉训练,也会建议患者穿戴背架,防止角度继续恶化,有些病患无法配合全天穿着背架,则可考虑夜间型背架。 脊椎侧弯角度已达40度以上的病患,受重力影响更大,因此穿背架的效果有限,针对这类型的重度病患,通常医师会建议开刀,以钢钉来固定和支撑脊椎,在外观 上会有显著的改善。
发现 脊椎侧弯的年龄也是治疗关键,陈怡孜医师指出,通常出生至3岁就发现的病患,症状会较为明显和严重,且多半需要开刀治疗。青春期是脊椎侧弯的黄金治疗期, 此时骨骼变化最快,也较有弹性,藉由矫正拉直的效果较佳,而且较不会发生神经受损等后遗症,因此在发育期的治疗效果会比较好。过了18岁后,骨骼通常已成 形,因此除非脊椎侧弯的角度过大,否则成年后通常也不太需要开刀治疗。
一般 而言,女性较容易患有脊椎侧弯,男女比例约为1:9,且特别常发生于瘦高型的女性。具有脊椎侧弯体质的患者,虽然婴幼儿时期不一定有明显症状,但可能会因 为后天的姿势不良,像是驼背、坐姿不正等状况,而使侧弯角度越来越大。有些人虽然时常感到腰酸背痛,但不一定就代表有脊椎侧弯,必须经由骨科医师做检查后 确诊。
知名脊椎侧弯专家台大骨科陈博光医师提醒,家中若有正在发育期的孩子,父母应多留意其站姿,如有脊椎侧弯的症状,应早日矫正治疗,目前正值暑假时期,可在此时带孩子尽快就医做完整检查。


